adccgambhir@gmail.com
+91-9910938212
Select Navigation
Home
About Us
→Dr. Hemant Gambhir
→Dr. Shalini Gambhir
→About Clinic
Services
Photo Gallery
→Image Gallery
→Treatment Gallery
Faq
Patient Testimonial
Contact Us
Map
Home
About Us
Dr Hemant Gambhir
Dr. Shalini Gambhir
About Clinic
Services
Advanced Dental Treatment
Smile Designing
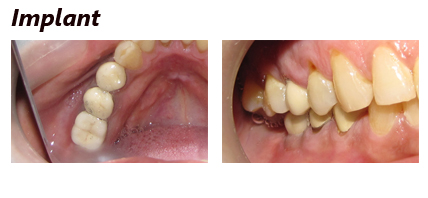
Dental implants.
Metal free crows & bridges.
Ceramic iaminates.
Motorized root canal treatment.
Full mouth rehabilitation.
Gum surgeries.
orthodontic treatment
lingual orthontic
General Dental Treatment
Cavity Filling - Tooth Coloured & metallic (Direct & indirect)
Simple & complex removal of teeth.
Professional cleaning.
Removable & complete denture.
Other Dental Treatment
Preventive Dentistry
Topical fluoride application
Pit & fisure sealants
Teeth whitening / Bleaching
Retreatment
Gallery
Image Gallery
Treatment Gallery
FAQ
Patient Testimonial
Contact Us
Map
Treatment Gallery