

Services
Dental X-Rays With the help of an advanced tool called radiographs, Dental Care Specialists find hidden dental aberrations in dental structures, malignant and benign masses, bone loss and cavities.

Dental Implants
Dental Implants are a new innovative oral care treatment which is used for tooth replacement with dentures. Dental implants will osseointegrate or bond with one’s health bone, as a result permanent support for one’s dental crowns and dentures. Good quality implants look and feel like actual teeth and have long lasting capacity.
Our dental care specialists also offer to replace missing tooth with the help of single dental implant which will be fixated without disturbing the placement of a natural tooth. After the implant is fitted, our specialist will attach an abutment as extra support for the final crown.
Benefits of Dental Implants
Dental Implants can have a number of advantages for people with oral care issues today.
- Implants look and feel like natural teeth
- They are fixated accurately and firmly
- Health of adjacent teeth are secured
- One can eat any kind of food they want
- Dental implants are comfortable, as in one needn’t take special care
- Promotes bone health by preventing deterioration and gum erosion
- Assist in facial reconstruction
Limitation With Traditional Dentures or Bridgework
- They appear fake or less natural
- These are less comfortable
- With time, these can become loose or ill-fitted which may lead to shifting or clicking while talking or eating
- Chewing force is compromised with traditional dentures as it rests on soft tissue
- One cannot sleep with their dentures
Limitations With Bridgework
- Healthy adjacent teeth need to be prepared or shaped for support
- supportive bridgework can damage adjacent teeth
Single Tooth Replacement
Multiple Tooth Replacement
Denture Implant
Cosmetic Smile Designing
Smile redesigning is a unique and inventive procedure that is done to enhance the appearance of your smile. This can be done with the help of one or more than one cosmetic dental procedures for instance, dental veneers, composite bonding, dental implants and teeth whitening.
Our unique dental expertise will work towards rediscovering your smile after discussing several options to reconstruct your smile in a way that will not change the way to look, but only enhance a smile which is already beautiful.
Smile makeover options.
Cosmetic Filling
White Fillings or Cosmetic Fillings are used to disguise faults or defects in the front teeth. For instance, chipped or crooked teeth or gaps between teeth can be easily corrected through means of white fillings.
Our experts will undertake a simple procedure that involves preparing teeth with an etching solution that can be easily painted on. After the tooth is prepared, resin or tooth colored filling substance is applied carefully to your teeth. The resin is meticulously applied to your teeth giving it as natural appearance as possible. Such procedures are painless and usually do not require a local anesthetic to be administered.
Diastema Closure Diastema can be defined as the gap between the two front teeth.
- This space can be filled easily through orthodontic alignment of the teeth to be brought into contact. This will help the teeth to gradually realign in a required position.
- Ceramic laminates/veneers are also highly aesthetic & effective way of reducing/eliminating diastema

Peg Lateral A common dental abnormality among people today is Peg lateral teeth, commonly also called peg lateral incisors. These terms are widely used in order illustrate a condition in the lateral incisors or the second tooth on either side of the front teeth are abnormally undersized or are smaller than its ideal size.




Enamel Shaping
Commonly called as contouring, enamel shaping is the process of shaping up of natural teeth to improve their appearance. This procedure is done in order to mend minor cases of crowded or overlapping teeth, rough edge smoothening and to make small adjustments to the shape or size of the tooth. This procedure is absolutely painless, meaning no Anesthesia is required.
Before This patient has a small notch in three of her four front teeth

After Minor contouring (shaping) of the enamel makes her teeth smooth and natural looking!
Lip Repositioning (Gummy Smile Correction) People with an evident upper jaw will find lip repositioning quite a helpful procedure. Patients who look for such dental procedures have excessive gum tissue exposed when they smile. Commonly referred as "gummy" smile correction, this lip repositioning procedure involves upper lip adjustment to a lower position. In many severe cases that our dental care expertise has come across, they had to realign the lip, moreover, perform Esthetic Crown lengthening procedure to create the perfect smile.

Crown & Bridge
Crowns are used to entirely cover a damaged tooth with a help of a 'cap'. The covering is helpful in strengthening the damaged tooth, moreover helps in enhancing the aesthetics of your smile. Our experts will work on appearance, shape, and alignment to make sure your damaged tooth is repaired.
Bridges are applied to replace one or more missing tooth, spanning the space of the missing tooth.

Dental Tooth Jewellery Dental Tooth jewelry is Swarovski or crystal like material applied on one’s tooth. These dental fixtures are bonded without any drilling and don’t cause any damage or injury to your teeth, lasting from months to years. We at Advanced Dental Care Clinic make sure you feel confident with dental tooth jewelry as it is instrumental in confidence building and personality development. We offer a number of sizes and shapes in dental crystals to beautify your unique smile.

Root Canal Treatment
Many of you may carry a misconception about root canal treatment that it is a painful procedure, however, you will fret less once you understand why root canals are done. The removal of infected soft tissue within a tooth, and replacing it with a new artificial inert filling like material is a standard root canal procedure.
If the following problems persist, you are in ardent need for a root canal treatment.
- constant ache in tooth
- Tooth decay or extensive cavities
- Teeth darkening, possibly after a serious injury or trauma
- Gum swelling near tooth
- Sensitive gums or teeth
- Tooth fractureh

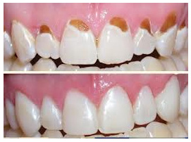
Teeth Whitening If you want sparkling white teeth, then Advanced Dental Care Clinic will be a one stop solution. Our dental care expertise will get rid of yellowness and convert them into pearly whites in just less than 45 minutes. Tooth whitening, quick, safe and effective; has become quite popular procedure in cosmetic dentistry.

Bone Grafting This is a surgical procedure where the broken bone, a fracture or a bone defect is replaced with a new bone graft that is made from replacement material, which assists the bone in healing faster.

Fiber Splinting of Mobile / Shaky Teeth Fiber splinting of teeth is where the two teeth are joined together with the intent to strengthen them as a whole. Our doctors use composite material to join shaky or loose tooth with another tooth. The innovative procedure offers a technology of resin impregnation and three varieties of fiber strip choices. This variety in fiber implementation supports the tooth strengthening process, alongside flexibility and ease of placement.

Orthodontic Treatment (Braces)
Orthodontic Treatment is largely blanketed by braces, which are used to correct mal-aligned teeth or jaws.
This treatment is undertaken for cosmetic enhancement of one’s smile, moreover support good dental health. Mal-aligned teeth can cause additional problems which include snoring, sleep apnea and other breathing issues. Alongside medical aberrations, mal-aligned teeth can lower one’s moral and self confidence gravely.
Dental Problems with Treatme
- Proclination
- Mal-alignment and crowding
- Cross bite
- Spacing
- Narrow jaw
- Open bite
Different types of treatment available

Kids Dentistry In children’s dentistry, we offer the following treatment and procedures:
Fluoride Varnish
This treatment is perhaps the most efficient ways of application of topical fluoride on a kid’s teeth.
Fluoride Varnish is the best means to prevent early tooth cavities or even reverse childhood caries. The treatment has proven useful on both milk and permanent teeth.

Pit & Fissure Sealants
Pit and Fissure Sealants is a common treatment to avoid unwarranted plaque or cavity in places your tooth brush cannot reach. Pit and Fissure are the cris-cross surface of your teeth which one uses for chewing food. These cris-cross surfaces are like tine hill and valleys where majority of chewing takes place.
Your tooth brush won’t be able to reach this part of your teeth, resulting in plaque formation. To avoid this, it is best to consider getting Pit and Fissure Sealants, which seals these pits with special varnish.

Tooth Colored Fillings These are a kind of dental restorative procedures wherein a material is applied to restore the function, integrity and morphology of missing tooth fixture.

Removal of Impacted Teeth
If a tooth in your mouth is growing sideways, or emerge only part away from the gum or remain trapped below the gum line, then you need a special removal treatment for the same. Our experts understand the impacted teeth which grow in abnormal direction can cause a lot of pain and other dental issues.
Dental Treatment is highly recommended in these cases to remove faulty teeth. The best example of this kind of problem is emergence of wisdom teeth in grownups.
